がん診療連携拠点病院です
関西医科大学附属病院は厚生労働省が指定するがん診療連携拠点病院です
専門的ながん医療の提供、地域のがん診療の連携協力体制の構築、がん患者に対する相談支援及び情報提供等を行っています。
2006年の開院から2023年12月までの胃がん手術件数は2962件で、うち1271件が腹腔鏡手術です。化学療法専門医による術前化学療法などの集学的治療も217件に及びます。GISTの手術件数も172件と豊富です。
また、2023年4月1日から始まった日本胃癌学会の認定施設制度にて、施設認定Aに選定されています。

初めて受診される方へ
初診当日は朝から絶食で受診してください(水分は飲んで頂いて結構です)
初診日に手術日を決めさせて頂くことが可能です
火曜日または金曜日の井上健太郎医師の外来に絶食でお越し頂ければ、その日にCT検査を受けて頂くことが可能です。
CT検査を受けて頂ければ、がんの病期を診断出来ますので、初診日に手術日を決めさせて頂くことが可能です。
腎機能(BUN, クレアチニン)に関する血液検査結果をご持参して頂きますと、よりスムーズにCT検査を受けて頂くことが可能です。
手術待ち期間は3~5週間です
胃がんは何年もかけて大きくなります。手術待ち期間は1か月程度となることもありますが、その期間に胃がんが大きくなったり、転移したりすることはありませんので、ご安心下さい。
ロボット支援胃がん手術(ダ・ヴィンチ)を保険診療で受けていただくことが可能です


胃がんとその治療方法を説明したパンフレットをダウンロード出来ます
画像をクリックするとPDFファイルがダウンロード出来ます。
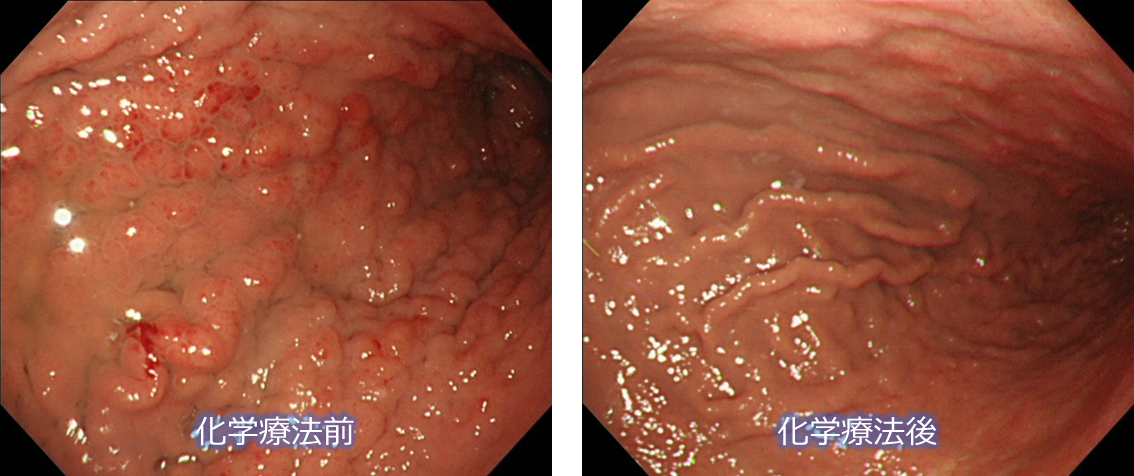
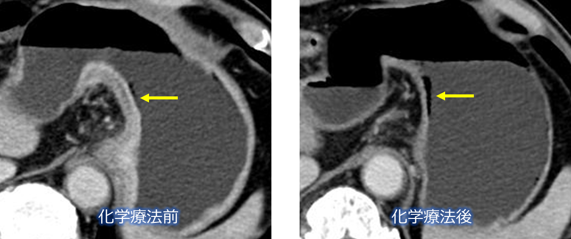
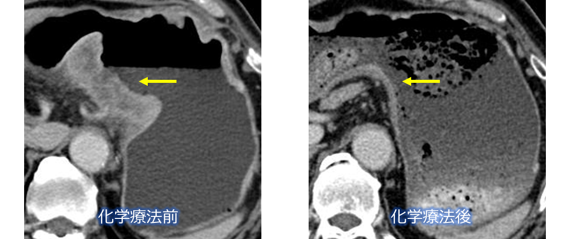
関西医科大学附属病院での集学的治療の効果
化学療法で消失したスキルス胃がん

化学療法で消失した潰瘍浸潤型胃がん

化学療法で消失したスキルス胃がん

化学療法で消失した大型胃がん

化学療法で消失した高度リンパ節転移胃がん

関西医科大学附属病院では、胃がん患者さんに対する免疫チェックポイント阻害薬(オプジーボ、キイトルーダなど)の治験など新しい治療方法の開発も行っています。
当院では術後の栄養指導を継続して受けて頂くことが可能です
胃切除後の後遺症には個人差があります。
生活環境も個々の患者さんで違いがあり、ご高齢でおひとり暮らしの方も増えています。
私どもは、個々の患者さんに合わせて継続して栄養指導を受けて頂く必要があると考えています。
新着情報
2024年11月16日 | コロナ感染拡大により休止していた胃がん患者会「スマイル会」を、この度再開いたします。今回は、食道がん患者会との合同開催となります。事前申し込みは不要で、当日の飛び入り参加も歓迎いたします。皆さまのご参加を心よりお待ちしています。 【日時】 11月16日(土)13:30~ 関西医科大学附属病院13階講堂
![]() |
---|---|
2023年3月13日 | 2023年4月1日から始まる日本胃癌学会の認定施設制度で、施設認定Aに選定されました。 |
2023年1月4日 | 各種パンフレットを2023年版に更新しました。 |
2020年10月21日 | よみうり新聞に当院の胃がん手術件数が紹介されています。 記事に掲載されている表で「手術中の迅速病理診断が(-)」と掲載されていますが、手術中の迅速病理診断が必要な手術では全例に迅速病理診断を実施しています。当方の回答間違いと思いますのでご安心ください。 |
2020年2月24日 | 下記のパンフレットのステージ分類を新しい分類に更新しました。 「胃がんで手術を受けられる方へ」 「胃がんで化学療法を受けられる方へ」 |
2020年1月1日 | 各種パンフレットを2020年版に更新しました。 |
2019年11月30日 | スマイル会を開催しました。 お越し頂きましたみなさま、有難うございました。 スマイル会プログラム
![]() |
2019年10月27日 | 2019年11月30日(土)に開催しますスマイル会のプログラムを掲載しました。 スマイル会
|
2019年6月10日 | 2019年度のスマイル会、ぷちスマイル会の案内です。 ぷちスマイル会 2019年10月4日(金)15:00-16:00 関西医科大学附属病院 13階 講堂
スマイル会 2019年11月30日(土)14:00-16:00 関西医科大学附属病院 13階 講堂
|
2019年5月27日 | パンフレットを2019年版に更新しました。 |
2019年3月14日 | ぷちスマイル会を開催しました。12名の方々にご参加頂きました。 |
2018年12月1日 | スマイル会を開催しました。53名の方々にご参加頂きました。 ![]() |
2018年8月11日 | 次回のスマイル会、ぷちスマイル会の案内です。 スマイル会 2018年12月1日(土)14:00~ 関西医科大学附属病院 13階 合同カンファレンスルーム
ぷちスマイル会 2019年3月14日(木)17:00~ 関西医科大学附属病院 13階 講堂
|
2018年8月7日 | 当院で行っている腹腔鏡下胃切除が、サンデー毎日「名医を探せ!!注目のがん低侵襲治療特集」で紹介されました。 |
2018年 3月 9日 | 三木博和医師が、第90回日本胃癌学会総会にて、高度のリンパ節転移を有していましたが、化学療法が著効し根治手術を受けて頂くことが出来た患者さんの集計を発表しました。 |
2018年 3月 8日 | 向出裕美医師が、第90回日本胃癌学会総会のワークショップで当院の胃癌術前診断の工夫とその成績を発表しました。 |
2018年 3月 3日 | ぷちスマイル会を開催し、37名の胃がん患者さんが参加され活発に意見交換されました。 |
2017年12月 7日 | 井上健太郎医師が、第30回日本内視鏡外科学会総会でSurgical Forum Awardを受賞しました。 |
2017年10月21日 | スマイル会を開催し、47名の胃がん患者さんとそのご家族が参加されました。 |
2016年11月26日 | 井上健太郎医師が読売テレビ「おはようドクター」に出演し、胃がんの腹腔鏡手術について解説しました。
![]() |